Digestible arginine requirements in broilers have traditionally focused on specific ratios to lysine, but emerging research highlights benefits of exceeding historical norms. Higher ratios have shown positive effects on growth, immunity, gut health, and even resilience during heat stress and enteric challenges. The article explores how arginine’s multifunctional roles may be more critical than previously assumed—especially under stress conditions.

By Dr. Chance Williams, Director of Nutrition, Wayne Sanderson Farms Inc.
Dr. Jason Lee, Product Development Director, CJ Bio America
Historically, nutritionists have used formulating ratios for digestible arginine to digestible lysine (dArg:dLys) between 103% and 107% for broilers. However, recent research has reported that ratios above 107% can have beneficial impacts on performance, health and stress. Benefits include additional body weight gain, efficiency and carcass yield by increasing the dArg:d Lys ratio to 112-115%. Additionally, elevated levels of dArg:dLys demonstrated improvements in intestinal function and integrity during an enteric challenge, as well as performance during protozoal and bacterial infections. The functional properties of arginine have also shown to assist the health and well-being of poultry when reared in elevated temperatures. Increasing arginine concentration above historical norms appears to better meet the nutritional requirement of poultry and prevents growth performance losses due to prioritization of this important nutrient to metabolic pathways other than growth.
ARGININE IS A FUNCTIONAL AMINO ACID
Arginine is an essential amino acid for broilers, known for its direct influence on growth (Kidd et al., 2001), immunity (Collier and Vallance, 1989), tissue healing (Efron and Barbul, 1998), and carcass traits (Corzo et al., 2003). Arginine is the most versatile amino acid and is involved in numerous physiological functions, serving as a substrate for the biosynthesis of nitric oxide, creatine, glutamine, glutamate, and ornithine (Khajali and Wideman, 2010). Arginine modulates the immune response directly through the production of nitric oxide and ornithine (Le Floc’h et al., 2004) and promotes the proliferation of lymphocytes in Peyer’s patches and stimulates the secretion of anabolic hormones such as growth hormone and insulin-like growth factor-1 which promote protein synthesis and wound healing. Nitric oxide acts as a cytotoxic mediator of immune-activated cells and regulator of the immune system (Hibbs et al., 1988). Arginine also serves as a precursor for the synthesis of polyamines, which are important for cell division and gene expression (Le Floc’h et al., 2004).
In a recent evaluation of the optimal ratio of arginine to lysine in Ross 708 broiler males, Corzo et al., (2021) observed that the ratio needed to optimize body weight gain, feed conversion ratio, and breast meat weight was 129%, 116%, and 112% respectively (Figure 1). Corzo et al. (2021) also reported linear increases in thigh weight and yield with increasing arginine ratio during the finisher phase, concluding higher dArg/dLys needs as the bird ages are likely due to the considerably high maintenance value of arginine in broilers. Performance enhancement with increasing arginine to lysine ratios were also reported by Oliveira et al., (2022) with a linear increase in body weight with arginine ratios ranging from 96% up to 124% of dLys with similar linear reduction in feed conversion ratio in Cobb 500 broilers. Anderson et al., (2023) also reported linear effects on body weight with increasing arginine ratios in Cobb 500 broilers.

Interestingly, Oliveira et al., (2022) evaluated an arginine dose response on skin thickness and strength in addition to the increasing arginine impact on muscle creatine level. The authors reported a linear increase in skin thickness (sampled from the left and right pelvic back region) and skin strength at 44 days of age as arginine ratio was increased from 94% to 124% of dLys. The highest evaluated arginine level of 124% of dLys resulted in a skin thickness of 1.211 mm and a strength of 10.171 mm as compared to 0.898 mm thickness and 5.154 mm strength from broilers fed a diet containing an Arg ratio of 106% of dLys, which is historically considered the requirements in broilers. The authors concluded that mitochondrial arginase located in the kidney can hydrolyze arginine into ornithine (Furakawa et al., 2021) and then ornithine into proline by the enzyme ornithine-aminotransferase. This benefit in skin quality could have significant impact on broiler health and wellbeing during grow out, as well as economic importance due to improved performance, less disease challenge, and decreased condemnations during processing. Andeson et al., (2024;2025) reported in two separate studies that increasing dietary arginine led to linear increases in serum ornithine levels, thus supporting the conclusions put forth by Oliveira et al. (2022).

IMMUNOLOGICAL BENEFITS
Fathima et al., (2024) demonstrated the immunological modulating effects of arginine during gastrointestinal challenge as an increase in dietary arginine decreased the CD8+:CD4+ T-cell ratio and down regulated the expression of inflammatory cytokines and enzymes preventing inflammatory injury to the tissues during necrotic enteritis challenge in broilers. The beneficial immunological impacts of elevated arginine ratios were also documented by Yazdanabadi et al., (2020), who reported that increasing the dietary arginine concentration to 125% of recommended levels increased nitric oxide and decreased pro-inflammatory cytokines in coccidiosis challenge broilers. This immunomodulation effects of arginine resulted in improved growth performance compared to 100% recommended arginine levels (Yazdanabadi et al., 2020). This downregulated expression of inflammatory cytokines and enzymes could prevent inflammatory tissue injury during enteric intestinal challenge.
Anderson et al., (2023) also observed effects on the immune system when feeding increasing levels of digestible arginine in addition to improvements in growth performance. In a dose response study with dArg:dLys ratios between 80% and 133%, quadratic analysis determined that the optimal ratio to maximize body weight gain and feed conversion ratio (95% of vertex) in Cobb 500 broilers was 116%. Additionally, following an LPS challenge, the infiltration of heterophils, production of nitric oxide and the ratio of heterophils to lymphocytes increased linearly with increasing arginine concentration. These data support the fact that arginine plays a pivotal role in the initiation of the immune response against a foreign antigen.
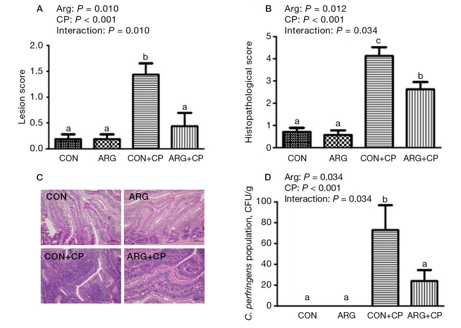
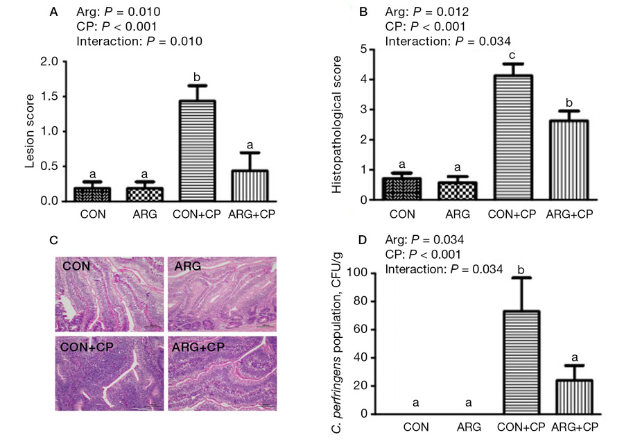
These immunomodulatory effects of arginine could benefit production animals during times of enteric challenge and allow improved growth performance and ability to effectively fight and clear a pathogenic infection. Necrotic enteritis is an economically important disease in broiler chickens causing intestinal damage and loss of performance. Zhang et al., (2019) demonstrated the antipathogenic properties of arginine in a necrotic enteritis model. Intestinal infection via a direct challenge resulted in significant lesion development and Clostridium perfringens recovery in the liver. The addition of L-arginine to increase the ratio to 123% of dLys significantly decreased Clostridium perfringens recovery in the liver, as well as observed lesion score in challenged broilers (Figure 2 -adopted from Zhang et al., 2019). Wang et al., (2024) reported the benefits of increasing arginine concentration on Clostridium perfringens’ α toxin-induced intestinal injury in broilers. Feeding increased levels of arginine increased broiler body weight, increased serum IgA and IgG, increased villus height and reduced crypt depth, decreased IL-1β, IL-6, and IL-17 and increased mTOR expression. Figure 2 (adopted from Wang et al. (2024) illustrates the beneficial impact of L-arginine supplementation on intestinal morphology during a challenge situation and the improved gastrointestinal health with longer and healthier villi and shorter crypt depth. This was observed simultaneously with reductions in proinflammatory cytokines and activation of the SLC38A9/mTORC1 pathway. Anderson et al., (2025) also reported benefits of increasing arginine level during a necrotic enteritis challenge as they evaluated a dose response of digestible arginine ratio to digestible lysine ranging from 80 to 150 in Ross 708 broilers subjected to a necrotic enteritis challenge model. Anderson et al., (2025) reported a linear decrease in broiler FCR during the recovery phase of challenge with increasing arginine concentration and reported an optimal arginine ratio for FCR during the dose response period of 123% dArg:dLys. These series of experiments provide a comprehensive view of the immunomodulatory potential of arginine administration and a mode of action for the induced performance benefits during challenge.

HEAT STRESS
The ability of elevated levels of arginine to provide benefits to poultry when experiencing heat stress is not a new concept. Brake et al., (1998) demonstrated that increasing the digestible arginine concentration positively benefited broiler body weight during periods of elevated temperatures. However, at the time of this publication in 1998, a commercially available option for a concentrated form of arginine was not available. With the introduction of feed grade L-arginine since 2016, dietary arginine concentrations can now be easily adjusted. Anderson et al., (2024) conducted an arginine dose response in broilers that were subjected to cyclic elevated temperatures (32 vs. 24 °C) in an effort to replicate summer conditions. In their study results, broilers fed increasing Arg ratios had linearly reduced cloacal temperatures at 46 days of age. This effect on core body temperature directly correlated with a linear reduction in observed feed conversion ratio and quadratic effects on breast meat yield with the apex of breast yield occurring at a ratio of 116%. These data demonstrate that the functional properties of arginine benefited the bird’s ability to handle elevated temperatures while providing sufficient arginine to maintain growth performance and yield.

Figure adopted from Wang et al., (2024)

CONCLUSIONS
Arginine is the most diverse essential amino acid necessary for numerous metabolic pathways that are essential for the health and wellbeing of an animal. Its roles in immunological functions, nitric oxide production, polyamines, creatine, proline synthesis and antioxidant capacity are vital to the ultimate performance of poultry and economic return. Due to the importance of these roles in health and wellbeing, providing less than adequate amounts of dietary arginine will force the animal to prioritize and potential lack sufficient amounts of arginine necessary for optimal economic performance, growth and yield.
References
1. Anderson, A., C. Beck, J. Santamaria, J. Lee, R. Adhikari, S. Rochell, and G. Erf. 2023. Influence of dietary arginine on local and systemic inflammatory responses to lipopolysaccharide in broilers. Poultry Science Association Annual Meeting. Philadelphia, PA. July 17, 2023
2. Anderson, A., J. Lee, R. Adhikari, and S. Rochell. 2024. Dietary arginine responses of Ross 708 broilers reared under cyclic elevated temperatures. International Poultry Scientific Forum. Alanta, GA. January 29, 2024
3. Anderson, A. J. Lee, R. Adhikari, R. Hauck, and S. Rochell. 2025. Dietary arginine response of Ross 708 broiler subjected to enteric challenge with Eimeria spp. And Clostridium perfringens. International Poultry Scientific Forum, Atlanta, GA January 27, 2025
4. Brake, J., D. Balnave, and J. Dibner. 1998. Optimum dietary arginine:lysine ratio for broiler chickens is altered during heat stress in association with changes in intestinal uptake and dietary sodium chloride. British Poultry Science 39:693-647. doi:10.1080/00071669888511
5. Collier, J., and P. Vallance. 1989. Second messenger role for NO widens to nervous and immune system. Trends Pharmacological Science. 10:427-431
6. Corzo, A., E. Moran, and D. Hoehler. 2003. Arginine need of heavy broiler males: applying the ideal protein concept. Poultry Science 82:402-407
7. Corzo, A., J. Lee, J. Vargas, M. Silva, and W. Pacheco. 2021. Determination of the optimal digestible arginine to lysine ratio in Ross 708 male broilers. Journal of Applied Poultry Research. 30:100136
8. Efron, D. and A Barbul. 1998. Modulation of inflammation and immunity by arginine supplements. Current Opinion in Clinical Nutrition and Metabolic Care 1:531-538
9. Fathima, S., W. Al Hakeem, R. Shanmugasundaram, and R. Selvaraj. 2024. Effect of arginine supplementation on growth performance, intestinal health, and immune response of broilers during necrotic enteritis challenge. Poultry Science 103:103815
10. Le Floc’h, N., D. Melchior, and C. Obled. 2004a. Modifications of protein and amino acid metabolism during inflammation and immune system activation. Livestock Production Science 87:37-45
11. Khajali, F., and R. F. Wideman. 2010. Dietary arginine; metabolic, environmental, immunological, and physiological interrelationships. World’s Poultry Science Journal 66:751-766
12. Kidd, M, E. Peebles, S. Whitmarsh, J. Yeatman, and R. Wideman. 2001. Growth and immunity of broiler chicks as affected by dietary arginine. Poultry Science 80:1535-1542
13. Oliveira, C., KK. Dias, R. Bernardes, T. Diana, R. Rodrigueiro, A. Calderano, and L. Albino. 2022. The effects of arginine supplementation through different ratios of arginine:lysine on performance, skin quality and creatine levels of broiler chickens fed diets reduced in protein content. Poultry Science 101:102148
14. Wang, X., T. Zhang, W. Li, H. Wang, L. Yan, X. Zhang, L. Zhao, N. Wang, and B. Zhang. 2024. Arginine alleviates Clostridium perfringens α toxin-induced intestinal injury in vivo and in vitro via the SLC38A9/mTORC1 pathway. Frontiers in Immunology. 10.3389/fimmu.2024.1357072
15. Yazdanabadi, F., G. Moghaddam, A. Nematollahi, H. Daghighkia, and H. Sarir. 2020. Preventative Vererinary Medicine 180:105031
16. Zhang, B., L. Gan, M.S. Shahid, Z. Lv, H. Fan, D. Liu, and Y. Guo. 2019. In vivo and in vitro protective effect of arginine against intestinal inflammatory response induced by Clostridium perfringens in broiler chickens. Journal of Animal Science and Biotechnology. 10:73. https://doi.org/10.1186/s40104-019-0371-4